上一篇在這裡:CXR簡易判讀課程(五):判讀的步驟-2
終於...各位觀眾,在長久的等待
Step4. 初步審視:ABCDEFGHI
A-Airway(呼吸道):應維持正中、通暢,也就是有氣流通過,如果有偏移(deviation),可能是張力性氣胸(tension pneumothorax)等原因造成。
正常的airway:通暢而且正中平直,如果你覺得好像有一點點輕微向右偏是正常的,因為右支氣管比較粗短而容易辨認。(借腫瘤病人的CXR一觀)
(圖片取自:http://radiopaedia.org/articles/lung-cancer-3)
皮下氣腫X光圖:可見除了肺野(lung field)外,皮膚下也全是空氣(黑色部分)。
(圖片來源:http://radiopaedia.org/articles/subcutaneous-emphysema)
C-Cardiac silhouette(心翦影):看看心臟長啥樣,SIZE如何,假如心臟寬度大於胸腔寬度的一半,可能有心臟肥大(Cardiomegaly)的問題;或者也可能是心包膜積水(pericardial effusion)。
心包膜積水:在CXR上,肥大的方式跟一般的心臟肥大(cardiomegaly)不太一樣,心包膜積水肥的方式比較「圓潤」一點,你會覺得比較像水球,不像是心臟。
(圖片來源:http://medlibes.com/entry/pericardial-effusion)
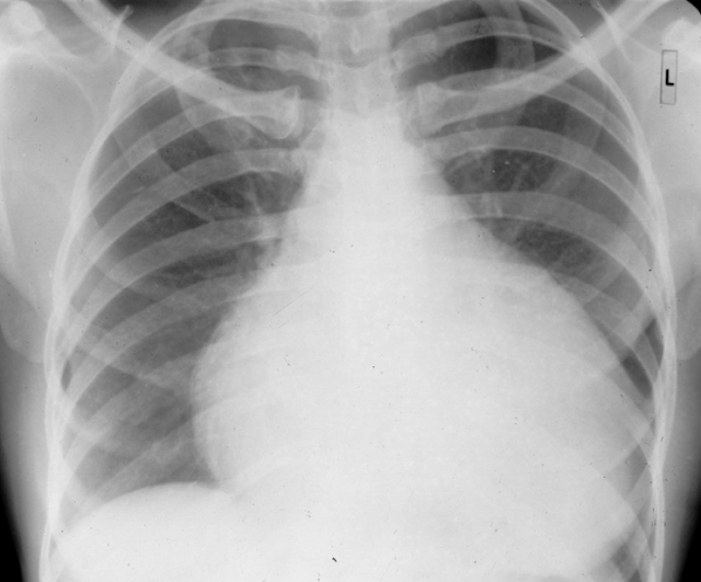
D-Diaphragm(橫膈膜):應該呈圓拱型的橫隔膜,常見右高左約1-3公分,因為肝臟在右橫膈膜下往上頂;此外,還要看四個角度,兩個costophrenic angle(肋膈角,又稱C-P angle)跟兩個cardiophrenic angle(心膈角),前者是兩側胸壁與橫膈膜形成的交角,後者是心臟與橫膈膜的交角,如果C-P angle消失或變鈍(blunting),表示患者可能有肋膜積水(Pleural effusion)。此外,假如橫膈膜頂部邊緣模糊不清,則表示有下肺葉實質化(consolidation)或浸潤(infiltration)的問題。
左邊有肋膜積水(Pleural effusion)、右邊則正常。可以看到右邊的C-P angle仍然保持尖銳(sharp),心臟與橫隔的交角也依稀可見,但左邊則整個消失,水都淹一半了。
(圖片來源:https://en.wikipedia.org/wiki/Pleural_effusion)
E-Edge of heart:心邊緣。這裡看的不是心臟大小,而是心臟邊緣是否平滑清楚?有沒有Silhouette sign?如果右心邊緣出現silhouette sign常表示RML(Right middle lobe) consolidation,左心邊緣則是LUL(Left upper lobe) consolidation;當然,也可能是腫瘤、淋巴腫大...等原因。
LUL pneumonia:左心房靠近與心室的交界處,邊緣模糊不清(silhouette sign positive),加上實質化之型態,可推測應為左上肺肺炎。
(圖片來源:http://www.wikiradiography.net/page/Left+Upper+Lobe+Consolidation)
(未完待續......)



沒有留言:
張貼留言